Case
症例紹介

全顎治療
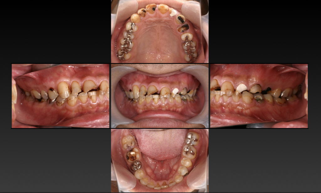
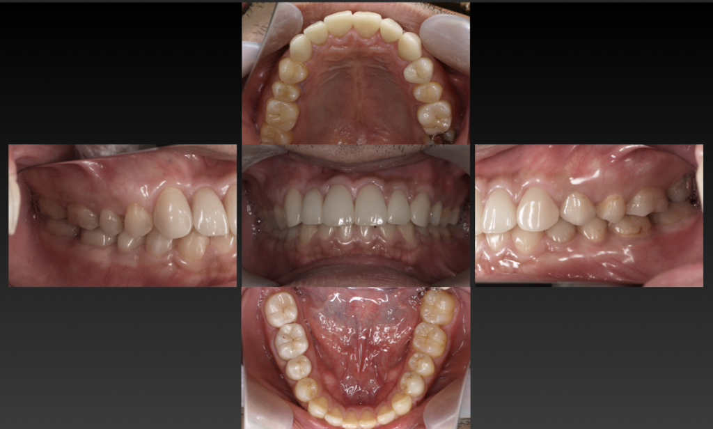
う蝕による咬合崩壊 全顎治療
| 治療方法 | 食生活、生活習慣の乱れからの虫歯による咬合崩壊症例 全体的な歯周治療、プラスチックの治療用の歯による咬合治療後、コンポジットレジンとセラミックによる咬合再構成。 咬合治療とはお口の中をひとつの単位と捉え、咬み合わせや審美性、顎関節などをトータルに治療していきます。口腔内の崩壊をきたしてしまった患者さんに対して、悪くなってしまった原因を追求し、次は悪くならないように、機能面、清掃性、審美性のトータル治療が「全顎治療(フルマウスリコンストラクション)」です。虫歯や歯周病になってしまった歯を1本だけ治すのではなく、お口全体を考慮して長期的な視野に立った健康維持を行うために治療計画を立てていきます。 劇的なスマイルの改善、食生活も見直していただき肌つやも良くなりお顔の印象が大きく変化しました。公私ともに周囲の評価も上がったと非常に喜んでいただきました。 虫歯だから詰めて終わるのではなく、なぜ虫歯になったのかを追求し歯科治療にあたりました。 |
|---|---|
| 通院期間・通院回数 | 約1年 |
| 費用 | ・咬合治療費 200,000 ・セラミック修復 臼歯部 90,000 × 7本 ・前歯部 120,000 × 6本 ・他 健康保険治療(歯周治療、根管治療、コンポジットレジン修復14箇所) |
| 注意点 | ※歯科治療は患者さんごとに全く異なります。治療のプランにより使用する素材、期間、費用が変動いたします。 |






