Case
症例紹介

ホワイトニング
インターナルブリーチ
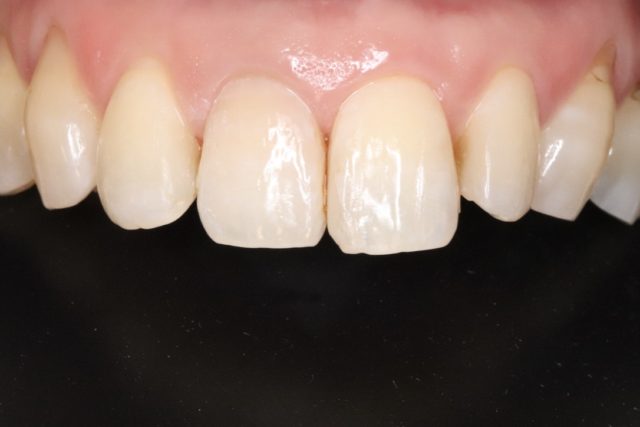
| 治療方法 | 失活歯の1歯ホワイトニング 歯の神経が悪くなり変色してしまっていても歯の内部からのホワイトニングでここまで改善できます! 歯の内部に薬を入れて7日〜10日に一度交換していきます。一度の治療時間は数分なので他の歯の治療が必要な場合は並行して同時に進めることができます。 |
|---|---|
| 通院期間・通院回数 | 4回 |
| 費用 | 15,000〜20,000円(隣接歯の色になるまで保証) |
| 注意点 | 歯根吸収、治療中の歯冠破折、歯肉の痛み |




